
入れ歯をつくって終わりでなく、診断からお口のなかの治療を行い万全な状態になったうえで、入れ歯をお作りします。
お口のトータル的な診療が長く持つ噛める入れ歯を提供する秘訣です。


当院は患者様とのご相談を大切にしております。
患者様のこれまでのご病気、お悩み、ご要望などをお聞きします。綿密なカウンセリングを行ったうえで入れ歯を製作することは、その後の生活でより充実した時間を過ごすことに繋がります。

視診やレントゲン撮影を行い、虫歯や歯周病がないかなどお口の中の健康状態を検査します。虫歯や歯周病などがあった場合、入れ歯を作る前にまずそれらの治療を行います。

当院はできる限り、抜かないで残す治療を行っております。しかし、残した歯に入れ歯のバネの力がかかりグラグラしてしまい、結局抜かなくてはならなくなることもあります。入れ歯の専門家として適切な判断と処置を行います。

お口の型採りをし、患者様のご状況・ご要望を踏まえた入れ歯を作るための綿密な技巧計画をします。データやイメージなどを技工士さんと相談し、審美的・機能的な入れ歯の製作にかかります。

入れ歯の製作は、当院が契約している国内でも有名な技工士さんが行います。
適合度の調整、付け心地、咬み合わせなど、様々な微調整を行います。

適切な設計を行い製作された入れ歯は、10年20年経っても作った時と同じように機能しております。
定期的なメインテナンスを行い、出来るだけ長い間入れ歯を使用してください。

入れ歯をしているからお口の中のメインテナンスを怠って良いということはありません。残っている歯が虫歯や歯周病で駄目になると、せっかく作った入れ歯を使用することができなくなります。入れ歯を永く使用するためにも、お口の中を定期的にメインテナンスしてください。
また、壊れてしまった入れ歯は、場合によっては修理して再度使用することができます。
この患者様は、数十年間歯科治療を受けた事がなく、痛い時はじっと我慢をし、そのうちに何本か抜けてしまったそうです。
もちろん入れ歯を入れた事もありません。
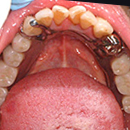
この状態でもどうにか食べる事は出来たようですが、家族の強いすすめもあって意を決して来院されました。来院された時は、残存歯16本中、13本が歯の頭 の部分(歯冠部)は崩壊し、根だけが残っている(残根)状態でした。虫歯と歯周病の進行状態から上顎は6本、下顎は3本の歯が抜歯となりました。
この症例の治療計画は次の通りです。
初診時、患者様は常に口元を手で覆い人前に出る事を極力さけていたそうです。
抜歯を含めた歯の治療を開始する前に歯冠のしっかりとした歯にバネをかけ残根歯は平らに削って、その上から入れ歯を装着し、とりあえず最低限の審美製の回復を計ります。
入れ歯に慣れ、ある程度食べられるようになってきたら、保存不可能な歯を抜歯し、残った歯の根管治療を開始します。
残り少ない歯に直接バネ(クラスプ)をかけると、負担が強く、歯がグラグラになってしまうので、あえて歯冠部を切断し、その上に義歯をかぶせる、いわゆる総入れ歯(残根上総義歯)にしてしまします。
仮の入れ歯の大きさや噛み合わせの高さを調節し、お口ぴったり合った入れ歯に改良しておく。
改良された仮義歯を元に、本義歯を作製します。
本症例では、総義歯の安定のため、下顎の3本の歯にはマグネットをつけました。
![]() |
![]() |