
当院のホームページを御覧になって来院されたFさん。総入れ歯が沢山入ったポリ袋を手に、「今まで何回も作ったけれど、痛くて咬めないんです。」
お口の中を拝見すると、上顎は数本の残存歯にバネをかけた普通のプラスティックの入れ歯。多少ゆるいものの、それ程問題は無さそう。問題は下顎です。総入れ歯ですから、歯が無いのは勿論ですが、入れ歯が乗る肉の部分、いわゆる土手が平らなどころか、凹んでいるのです。総入れ歯の難症例中の難症例です。
そこで御使用中の入れ歯を拝見すると、土手の状態からすればかなり安定していました。
上手な先生がお作りになったんだなーと思いました。


「Fさん。この土手の状態ならば、今の入れ歯で充分ですよ。新しく作ってもあまり変わらないと思いますよ。」
でも、私達入れ歯屋の常識は患者様には通用しません。
「先生。軟らかいお餅みたいな入れ歯安定剤があるでしょう。あれって最初はすごく調子いいんだけど、あれが永久に続く材料って無いの?」
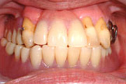
そこで使用したのが、生体シリコーンゴムを使ったコンフォート義歯です。見た目は普通のプラスティックの入れ歯ですが、裏側の土手に接する面(粘膜面)にクッション性のある厚さ2mm程度のシリコンゴムが貼付けられています。そのため土手との吸着も良く、咬んだ時の痛みもほとんどありません。


少し、白っぽく見えるのが生体シリコンです。
少し、白っぽく見えるのが生体シリコンです。
上顎の入れ歯も「落ちない、動かない」がご希望だったので、残存歯に磁石を入れたマグネット式の残根上総義歯にしました。
新しい入れ歯を入れたFさん。
「先生、何でも咬めて、動かないし痛くないのよ。私が考えているような入れ歯があったのね!」と大喜びしてくださいました。



多少の欠点はありますが、とてもすばらしい材料だと思います。その吸着力には、私もびっくりしています。